原始神经外胚层肿瘤 美国医院如何治疗
发布日期:2018-05-11原始神经外胚层肿瘤(PNETs)是一类恶性肿瘤,侵略性高,由神经外胚层小圆细胞组成,会影响软组织和骨骼。去美国看病服务机构爱诺美康介绍到,原发性神经外胚层肿瘤(PNETs)在病理上,与其他小型圆形细胞肿瘤很相似,但其临床表现有极大的多样性。因此,对这个肿瘤家族的分类有很多挑战和争议。Batsakis等(1996)根据原发组织将原始神经外胚层肿瘤家族分为以下三组:
■CNS原始神经外胚层肿瘤(PNETs)-源自中枢神经系统的肿瘤。
■神经母细胞瘤-源自自主神经系统的肿瘤。
■外周原始神经外胚层肿瘤(pPNETs)-源自中枢和自主神经系统外的组织的肿瘤。

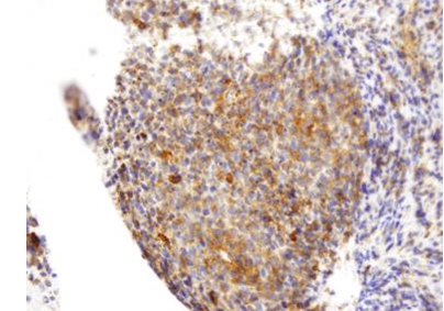
上图是外周原始神经外胚层肿瘤中,特征性细胞质CD-99染色的显微照片。
外周原始神经外胚层肿瘤(pPNETs),也被归为尤文肿瘤家族(EFTs)的一部分;在文献中,外周原始神经外胚层肿瘤(pPNETs)和尤文肿瘤家族通常可互换使用。去美国看病服务机构爱诺美康介绍到,通常,尤因家族肿瘤和外周原始神经外胚层肿瘤(pPNETs),代表的是相同肿瘤的不同表现,并且两者具有相似的遗传改变。
然而,尤文肉瘤在骨中更常见,而外周原始神经外胚层瘤(pPNET)在软组织中更常见。免疫组化和细胞遗传学研究表明,这些肿瘤的起源是相同的。以下肿瘤都是外周原始神经外胚层肿瘤(pPNET)的子类:
■尤文肉瘤(骨肿瘤或骨外肿瘤)
■恶性外周原始神经外胚层肿瘤(pPNETs)或骨和软组织周围神经上皮瘤
■Askin瘤(胸肺区周围神经上皮瘤,是多发于青少年胸部的一种恶性肿瘤,属于周围神经外胚叶肿瘤)
■其他较不常见的肿瘤(例如,神经外胚层瘤,外耳道间质瘤,外周髓上皮瘤)
Stout首先在1918年描述了PNET,并且认为这些肿瘤是直接在神经中产生的。在过去的25年中,研究人员对这些肿瘤的病理和细胞遗传学理解显着加深。去美国看病服务机构爱诺美康介绍到,基于分子细胞遗传学分析,他们发现,EFT和外周原始神经外胚层肿瘤(pPNET)具有相同的染色体相互易位,常见于染色体11和22之间的相互易位。
去美国看病服务机构爱诺美康介绍到,免疫组织化学分析的进展,有助于进一步区分PNET和尤文肿瘤家族(其他小而圆的低分化肿瘤),包括横纹肌肉瘤,成神经细胞瘤和淋巴瘤。外周原始神经外胚层肿瘤(pPNET),通常在临床上表现更具侵袭性,其预后比其他小的圆形细胞肿瘤更差。
手术治疗
手术治疗头颈部原始神经外胚层肿瘤(PNETs),前提是能取得完全阴性的切缘。然而在某些情况下,这些肿瘤的侵袭性和弥漫性扩散使得肿瘤无法完整手术切除。此外,如果重要结构受累,可能无法完成手术切除。
化疗与放疗
去美国看病服务机构爱诺美康介绍到,化疗和放疗是治疗原始神经外胚层肿瘤的必要辅助手段。化疗方案能显着改善外周原始神经外胚层肿瘤患者的预后。根据肿瘤有无扩散,治疗范式也有所不同。不过,外周原始神经外胚层肿瘤(pPNETs)和尤文肿瘤家族(EFTs)的治疗,在化疗方案上是相似的。
目前的建议主张的是,尽可能完成手术切除,然后做辅助或新辅助化疗,以及放疗。医生提倡采用多方法治疗,以预防肿瘤的转移和复发,并且在切除手术后,对残余肿瘤继续治疗。Carvajal和Meyers在全面回顾治疗PNETs和Ewing肿瘤家族(EFTs)的化疗方案时,推荐使用长春新碱,多柔比星和环磷酰胺联合异环磷酰胺和依托泊苷(IE)的方案。
肿瘤转移的治疗,同样包括新辅助化疗和辅助化疗,以及尽可能通过手术切除,对所有残余肿瘤较多的部位进行放疗。由于文献中报道的头颈部外周原始神经外胚层瘤(pPNETs)很少,因为针对头颈部治疗方案的临床试验数量非常有限。去美国看病服务机构爱诺美康介绍到,目前的治疗方案包含的信息,主要是其他部位的肿瘤的治疗策略和应答率。较高治疗剂量的分次治疗一般用于有较多肿瘤残余和微量肿瘤残留的患者。
放疗的争议
去美国看病服务机构爱诺美康介绍到,放射治疗有一种并发症,即放疗后导致其他肉瘤产生,这种情况下,应减少或不用放疗作为辅助治疗。此外,在EFT的1-2%存活者中,出现了治疗相关的急性粒细胞性白血病和骨髓增生异常综合征。
在SEER癌症登记处记录的儿童癌症幸存者随访中,在治疗EFT和PNET后。继发癌症的发生率高,与一般人群相比,增加了近6倍。放射治疗剂量超过60Gy时,继发性恶性肿瘤的发生率显着增加。Kuttesch等报道,接受剂量超过60Gy的患者中,有20%出现继发性恶性肿瘤,而接受48-60Gy的患者,仅有5%出现继发性恶性肿瘤。低于48Gy的患者没有出现其他恶性肿瘤的风险。
虽然患者的治疗结果,因疾病属于不同亚型而不同,但出现肿瘤转移的患者预后较差,5年生存率为0-25%,而局部肿瘤患者的生存率为40-79%。



